您好!欢迎访问通宝TB222生物(青岛)有限公司网站!
基础医学科研服务者无忧 可视 高效 专业
全国咨询热线:17657166935
当前位置: 首页 > 新闻资讯 > 行业动态 > 石蜡切片及染色技术的注意事项
通宝TB222

电话:17657166935

QQ:2301757537

地址:山东省青岛市城阳区上马街道河东路上马科技企业加速器202室

邮箱:longkesci@163.com

石蜡切片及染色技术的注意事项
发布时间:2023-08-30 浏览次数:
石蜡切片及染色是组织学研究中常用的技术,用于制备组织切片并进行显微镜观察。下面列举一些关于石蜡切片及染色的注意事项。
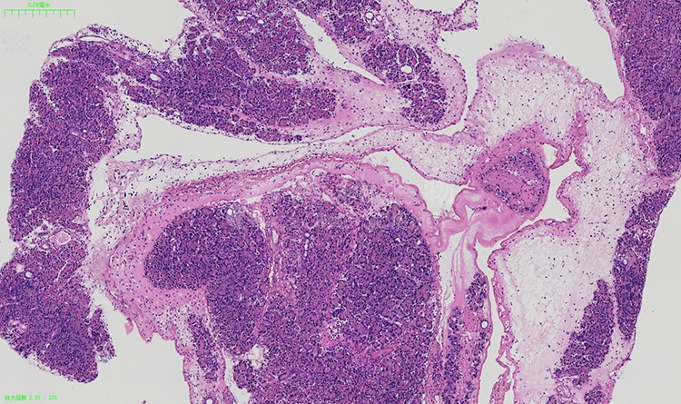
石蜡切片及染色

石蜡切片的制备:

  1. 组织固定:选择适当的组织固定方法,如使用福尔马林固定液进行组织固定。固定时间对于不同组织类型可能有所差异,一般需保证足够的固定时间以确保组织结构的完整性。

  2. 组织脱水:将固定后的组织逐步置于浓度递增的酒精溶液中,以去除水分。常用的脱水剂包括乙醇和异丙醇。脱水的过程需要逐渐进行,确保组织内外渗透压的平衡。

  3. 渗透与浸渍:将组织逐步置于浸渍剂(如甲苯)中,使其与石蜡充分渗透和浸润。渗透的时间通常较短,而浸润时间较长,以确保石蜡充分浸透到组织中。

  4. 石蜡包埋:将浸润后的组织置于石蜡中,使其被完全包埋。石蜡的温度和时间需要根据试样的大小和类型进行调整。要确保组织被均匀地包裹在石蜡中,以便后续切片工作能够顺利进行。

  5. 切片:使用组织切片机将石蜡固化的组织切成薄片。切片时要注意刀片的角度和速度,以及切片的厚度,这些均会影响到切片的质量。

染色的注意事项:

  1. 常规染色:常用的染色方法包括血液常规染色、酸性染色(如伊红染色)、碱性染色(如伊红兰染色)等。在进行染色前,需将切片进行脱蜡和重水处理,以使组织重新吸水。

  2. 免疫组织化学染色:免疫组织化学染色是一种用于检测特定蛋白质在组织中分布和定位的方法。在进行免疫组织化学染色前,需进行抗原修复、阻断非特异性结合、一抗和二抗结合等步骤,以确保染色结果的准确性。

  3. 原位杂交染色:原位杂交染色用于检测基因在组织中的表达。在进行原位杂交染色前,需进行脱蜡和蛋白酶消化等处理,以使目标核酸暴露并与适当的探针结合。

在进行石蜡切片及染色过程中,还需要注意以下几点:

  1. 实验室安全:实验过程中要注意安全操作,如佩戴实验手套、眼镜和口罩,并遵守相关废弃物处理规定,以保障个人和环境的安全。

  2. 仪器维护:保持切片机和显微镜等设备的良好状态,及时进行常规维护和清洁,以确保设备能够正常运行。

  3. 质量控制:定期进行质量控制,如使用已知标本进行切片和染色,并进行评估和比对。这样可以及时发现并纠正可能存在的问题。

  4. 记录和标记:在进行石蜡切片及染色过程中,要做好记录并进行标记,确保样本的追溯和结果的准确性。

总结起来,石蜡切片及染色是一项常见的组织学研究技术,在操作过程中需要注意实验室安全、仪器维护、质量控制以及记录标记等方面的要求。只有正确地操作和处理,才能获得高质量的组织切片并进行准确的染色,为组织结构研究提供可靠的数据支持。

 
网站地图